Home
About
Services
FAQs
Gallery
Contact

1347 Hartford AveJohnston, RI 02919
401-861-1080 • 401-861-7643

Porcelain Veneers

 
 

Dental Veneers

 





 

Porcelain veneers, also termed dental veneers or dental porcelain laminates, are one of cosmetic dentistry’s more recent developments. Porcelain veneers are wafer-thin shells of porcelain that can be bonded onto the front side of teeth to make a cosmetic improvement in the teeth’s appearance. Porcelain veneers are routinely used to idealize teeth that are:

Stained or discolored
Worn
Chipped
Misaligned
Alternative to orthodontic treatment

For decades dentists have had available to them materials that can create a durable bond to tooth enamel. These bonding materials are used to securely attach a thin sheet of porcelain (the porcelain veneer) to a tooth. Although porcelain is inherently brittle, when it is firmly bonded to a sturdy substructure (a tooth) it becomes very strong and durable.

 
 

 

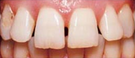
Before Porcelain Veneers

After Porcelain Veneers

Advantages of Porcelain Veneers
The use of porcelain veneers are gaining immense popularity due to the ease of applying one of these veneers on, and also the long-lasting benefits that porcelain veneers have in enhancing your appearance. A significant advantage of porcelain veneers is related to the fact that a porcelain veneer’s surface is just that, porcelain. Since porcelain is a ceramic, and therefore glass-like, its surface is extremely smooth and impervious - this means that the surface of a porcelain veneer will not pick up permanent stains.

Schedule A Consultation

 
Back To Services  


Home | About | Services | FAQs | Gallery | Contact
©2010 - 2020 Mansolillo Dental, All Rights Reserved | Design and Development by RGS Marketing Group